大阪インプラント入れ歯情報サイトでインプラント治療を受けられた患者さんの
実際の治療症例をご紹介します。
なお、術前・術後の治療症例を閲覧するにあたって、
下記の詳細情報をお読みください。
些細な事でもわからない事でも、ございましたらお電話・メールにてお尋ね下さい。
施術名:インプラント治療
治療内容:インプラント治療は、従来の入れ歯やブリッジとは違い、天然の歯と同様に強くて美しくしっかり噛める歯を取り戻す治療法です。
失った歯の代わりにインプラントを埋め込み、その上に人工の土台と被せ物を装着する3段階の構造になっています。健康な歯を削る事はありません。
リスク・副作用:インプラント治療は必ず外科治療を伴うため、術後の疼痛・腫脹・出血・咬合痛などを生じる事があります。麻酔を行う場合、腫れやむくみを生じる事があります。
また、上部の被せ物や土台が外れたり、欠けたり、緩んだりする事があります。
施術の費用:インプラント埋入30万円 土台5万円 被せ物12万円(税別)
症例
- 1. 上顎中切歯の症例 抜歯即時埋入
- 2. 右上の症例 抜歯即時埋入
- 3. 上顎中切歯の症例 抜歯即時埋入+エクストルージョン
- 4. 上顎中切歯の症例 抜歯遅延埋入+GBR
- 5. 上顎の症例 骨造成(GBR)してインプラント
- 6. 上顎の症例 骨造成(GBR)してインプラント
- 7. 上顎臼歯の症例 上顎洞底挙上(ソケットリフト)とインプラント
- 8. 上顎の症例 上顎洞底挙上(ソケットリフト)とインプラント
- 9. 上顎結節の症例 上顎結節へのインプラント
- 10.上顎結節の症例 上顎結節へのインプラント
- 11.上顎前歯の症例 CTからの診断
- 12.上顎前歯の症例 CTからのサージカルガイド
- 13.上下顎の症例 矯正してアーチを修正
- 14.上下顎の症例 矯正にて動揺歯を固定
- 15.上顎の症例 埋入用ワックスアップ
- 16.下顎の症例 埋入用ステント
- 17.下顎の症例 セラミックアバットメント
- 18.下顎の症例 メタルアバットメント
- 19.右下の症例 インプラントのパーツ
- 20.左下の症例 インプラントの型採り
- 21.上顎前歯の症例 オーバーデンチャー
- 22.上顎結節の症例 オーバーデンチャー
- 23.下顎前歯の症例 オーバーデンチャー
上顎中切歯の症例 即時埋入

- 術前

- 抜歯と同時にインプラント埋入

- 6か月後

- ジルコニアアバットメント

- 反対の歯はラミネートベニア

- 術後

治療期間 1年 費用 62万(税別)
抜歯と同時にインプラントが1本埋入されました
審美的な理由から、反対の歯はベニア修復です
術後8年 現在メインテナンス中で経過良好です
リスク・副作用としてインプラント周囲炎があります
右上の症例 即時埋入
- 抜歯

- 同時にインプラント埋入

- 術後

治療期間 半年 費用 50万(税別)
抜歯と同時にインプラントが1本埋入されました
周囲の骨・歯肉が保存されます 術後11年 現在メインテナンス中で経過良好です
リスク・副作用としてインプラント周囲炎・セラミックの破損があります
上顎中切歯の症例 即時埋入+エクストルージョン

- 術前

- エクストルージョン

- インプラント埋入

- 6か月後

- ジルコニアアバットメント

- 術後

治療期間 1年 費用 50万(税別)
抜歯と同時にインプラントが1本埋入されました
歯肉が下がらないように、エクストルージョンを行っています
術後7年メインテナンス中 経過良好です
リスク・副作用としてインプラント周囲炎があります
上顎中切歯の症例 遅延埋入+GBR

- 術前

- 大きな骨欠損

- インプラント埋入

- GBR

- 吸収性メンブレン

- 6か月後

- チタンアバットメント

- 術後
治療期間 1年半 費用 65万(税別)
事故によって、歯と骨が欠落しており、そのため、周囲の骨・歯肉を再生させています
術後10年
現在メインテナンス中で経過良好です
リスク・副作用としてインプラント周囲炎・骨吸収があります
上顎の症例 骨造成(GBR)してインプラント
- 術前

- 術中

- GBR

- 骨幅が造成
インプラント埋入 
- 術後


GBR (骨造成)を行っています
治療期間 1年 費用 55万(税別)
インプラントが1本埋入されました
術後13年
現在メインテナンス中で経過良好です
リスク・副作用としてインプラント周囲炎、骨吸収があります
上顎の症例 骨造成(GBR)してインプラント
- 術前

- 術中

- 術後


GBR / ソケットリフトも行っています
治療期間 2年 費用 275万(税別)
インプラントが5本埋入されました
術後9年
現在メインテナンス中で経過良好です
リスク・副作用としてインプラント周囲炎があります
上顎臼歯の症例 上顎洞底挙上(ソケットリフト)とインプラント

- 術前

- 骨補填材

- インプラント埋入

- 骨補填材

- インプラント埋入

- 術前

- 12か月後
治療期間 1年 費用 115万(税別)
上顎洞内にインプラントが2本埋入されました
上顎洞底が骨補填剤とインプラントによって挙上されています
術後12年
現在メインテナンス中で経過良好です
リスク・副作用として造成した骨の吸収、インプラント周囲炎があります
上顎臼歯の症例 上顎洞底挙上(ソケットリフト)とインプラント
- 術前

- インプラント埋入

治療期間 1年 費用 230万(税別)
上顎洞内にインプラントが4本埋入されました
上顎洞底が骨補填剤とインプラントによって挙上されています
術後9年 現在メインテナンス中で経過良好です
リスク・副作用として骨吸収、インプラント周囲炎があります
上顎結節の症例 上顎結節へのインプラント

- 術前

- サージガイド装着

- インプラント埋入

- アバットメント

- 術後
治療期間 1年 費用 115万(税別)
インプラントが上顎洞を避けて上顎結節へ2本埋入されました
インプラントの間の暗い部分が上顎洞で、空洞になっています
術後8年
現在メインテナンス中で経過良好です
リスク・副作用としてインプラント周囲炎、セラミックの破損があります
上顎結節の症例 上顎結節へのインプラント

- 術前

- サージガイド装着

- インプラント埋入

- アバットメント

- 術後
治療期間 1年 費用 150万(税別)
インプラントが上顎洞を避けて上顎結節へ3本埋入されました
上顎洞底挙上と上顎結節のインプラントはケースバイケースで使い分けます
術後6年 現在メインテナンス中で経過良好です
リスク・副作用としてインプラント周囲炎があります
上顎前歯の症例 CTからの診断
- 術前

- CT

- 術後

期間 1年 費用 115万(税別)
通常のレントゲンから左右方向
CTによって前後方向の診断を行います
術後12年現在メインテナンス中で経過良好です
リスク・副作用としてインプラント周囲炎があります
上顎前歯の症例 CTからのサージカルガイド

- 術前

- サージガイド装着

- 埋入方向の確認

- インプラント床の形成

- インプラント埋入

- 術後

治療期間 1年 費用 105万(税別)
CTから診断し、理想的な位置にインプラントを埋入するための、
サージカルガイドからインプラントが2本埋入されました
術後8年 現在メインテナンス中で経過良好です
リスク・副作用としてインプラント周囲炎があります
上下顎の症例 矯正してアーチを修正
- 術前

- 矯正中

- 術後


治療期間 4年 費用 600万(税別)
インプラントが10本埋入されました
術後14年
現在メインテナンス中で経過良好です
リスク・副作用としてインプラント周囲炎、セラミックの破損があります
上下顎の症例 矯正して動揺歯を固定

治療期間 3年 費用 600万(税別)
インプラントが10本埋入されました
術後12年
現在メインテナンス中で経過良好です
リスク・副作用としてインプラント周囲炎があります
上顎の症例 埋入用ワックスアップ

- 術前

- ワックスアップとステント

- 術後

治療期間 2年 費用 110万(税別)
インプラントを2本埋入しました
歯の外形をワックスアップし、インプラントを入れる場所をステントへコピーします
どこがインプラントかわかりますか?
術後16年
現在メインテナンス中で経過良好です
リスク・副作用としてインプラント周囲炎、セラミックの破損があります
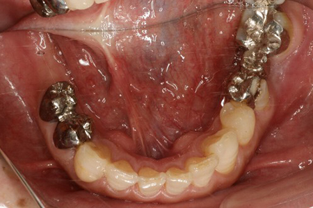
下顎の症例 埋入用ステント
- 術前

- 術中

- 術後


- 埋入位置の表示
インプラントが5本埋入 治癒期間1年半 費用 450万(税別)
術後8年
現在メインテナンス中で経過良好です
リスク・副作用としてインプラント周囲炎があります
下顎の症例 支台歯はセラミックアバットメント
- 術前

- 術中

- 術後

治療期間 半年 費用 250万(税別)
インプラントが4本埋入されました
アバットメントはセラミック
歯肉退縮しても見えません
術後16年
現在メインテナンス中で経過良好です
リスク・副作用としてインプラント周囲炎があります
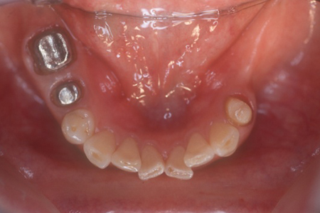
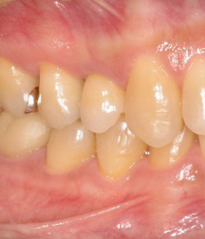
下顎の症例 支台歯はメタルアバットメント
- 術前

- 術中

- 術後


治療期間 半年 費用 100万(税別)
右下はインプラントを2本埋入しました
噛む力が強いのでメタルアバットメントにしてます
左下はブリッジで対応してます
術後8年 現在メインテナンス中で経過良好です
リスク・副作用としてインプラント周囲炎があります
右下の症例 インプラントのパーツ
- 術前

- インプラント

- アバットメント

- 最終補綴

インプラントは歯根、アバットメントは歯冠に相当します
治療期間 半年 費用 150万(税別) 術後14年 現在メインテナンス中で経過良好です
リスク・副作用としてインプラント周囲炎、セラミックの破損があります
左下の症例 インプラント型採り
- インプラント型採り

- アバットメント・メタルコーピング

- 最終補綴

アバットメントの上に歯がかぶされます かぶせ物が割れないよう工夫しています 咬合関係は理想的です
治療期間 半年 術後15年 現在メインテナンス中で経過良好です
リスク・副作用としてインプラント周囲炎があります
上顎前歯の症例 オーバーデンチャー

- 術前

- インプラント

- 仮歯

- アバットメント装着

- 最終補綴

- 術後

治療期間 1年 費用 100万(税別)
インプラントが3本埋入されました
この上に入れ歯を装着します
入れ歯は取り外し可能です
術後8年
現在メインテナンス中で経過良好です
リスク・副作用として入れ歯の破損、インプラント周囲炎があります
上顎の症例 オーバーデンチャー

- 術前

- 抜歯後

- インプラント

- 最終補綴

- 最終メタルフレーム

- 術後

治療期間 2年 費用 150万(税別)
インプラントが1本埋入されました
この上に入れ歯を装着します
入れ歯は動かなくなりました
術後12年 現在メインテナンス中で経過良好です
リスク・副作用としてインプラント周囲炎があります
下顎の症例 オーバーデンチャー

- インプラント

- バーアタッチメント

- 入れ歯

治療期間 半年 費用150万(税別)
インプラントが4本埋入されました
この上に入れ歯を装着します
術後8年
現在メインテナンス中で経過良好です
リスク・副作用としてインプラント周囲炎があります
インプラントは、
入れ歯にはない安定性や、ブリッジにはない強度など、
生きた歯に匹敵する、美しさと快適さを備えた、魅力ある治療法です。
ただ、インプラントにも課題や限界があることを忘れないで下さい。
~ Serendipityかわさと歯科・矯正歯科 ~










































































































































